GNI4110-GT/Anti-GST Monoclonal Antibody
GNI4110-GT/Anti-GST Monoclonal Antibody,Anti-GST Tag (5A7) 单克隆抗体是一种高质量抗体,专门用于检测 GST 标签蛋白,适用于 Western blot、斑点杂交和 ELISA 等多种实验。它具有高特异性和灵敏度,是研究不同物种中 GST 标签蛋白的理想选择。
GNI4110-GT/Anti-GST Monoclonal Antibody,Anti-GST Tag (5A7) 单克隆抗体是一种高质量抗体,专门用于检测 GST 标签蛋白,适用于 Western blot、斑点杂交和 ELISA 等多种实验。它具有高特异性和灵敏度,是研究不同物种中 GST 标签蛋白的理想选择。
Overview | Anti-GST Tag (5A7) Monoclonal Antibody is a high-quality antibody specifically designed for the detection of GST-tagged proteins in various applications, including Western blot, Dot blot, and ELISA. It exhibits high specificity and sensitivity, making it an ideal choice for researchers studying GST-tagged proteins across different species. |
Experiment | Western blot analysis of different concentrations of Anti-GST Tag (5A7) Monoclonal Antibody |
Antigen | Extracts from E.coli expressing GST-tagged protein |
Line No. | 1: 1 µg/mL,2: 0.5 µg/mL,3: 0.1 µg/mL |
Product Name | Anti-GST Monoclonal Antibody |
Specificity | GST-tagged protein in all species |
Applications | Western Blot (WB): 1:500-1:5000 |
Conjugated | N/A |
Target | GST |
Immunogen | Recombinant GST protein expressed in E. coli |
Host Species | Mouse |
Clonality | Monoclonal |
Clone No. | 5A7 |
Isotype | IgG2b |
Form | Liquid |
Storage Buffer | 50% Glycerol, 150mM Sodium Chloride, 10mM Sodium Phosphate, pH 7.4 |
Concentration | 0.5 mg/mL |
Transportation | Ship at 4°C |
Storage | Store at -20°C. Avoid freeze / thaw cycle. |

Western blot analysis of different concentration of Anti-GST Tag (5A7) Monoclonal Antibody
Antigen: Extracts from E.coli expressing GST-tagged protein
Line No.1: 1 ug/mL, 2: 0.5 ug/mL, 3: 0.1 ug/mL
Product Name | Anti-GST Monoclonal Antibody |
Specificity | GST-tagged protein in all species |
Applications | WB: 1:500-1:5000 Dot: 1:500-1:5000 ELISA: 1:500-1:5000 |
Conjugated | N/A |
Target | GST |
Immunogen | Recombinant GST protein expressed in E. coli |
Host Species | Mouse |
Clonality | Monoclonal |
Clone No. | 5A7 |
Isotype | IgG2b |
Form | Liquid |
Storage Buffer | 50% Glycerol, 150mM Sodium Chloride, 10mM Sodium Phosphate, pH 7.4 |
Concentration | 0.5 mg/mL |
Transportation and Storage | Ship at 4°C. Store at -20°C. Avoid freeze / thaw cycle. |
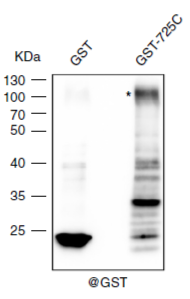
Data from Customers

Cell Rep. 2021 May 4;35(5):109054.

Nat Commun. 2019 Jul 5;10(1):2999.
上海睿远生物医药科技有限公司
官方网址:www.fulaibio.com
Email: office01@fulaibio.com
电话:19946275258/18317065317
